Sadelik ve Fonksiyonelliğin Mükemmel Uyumu
RAD-X Pacs Size En İyi Kullanıcı Deneyimini Sunmayı Amaçlar
DevamıUlusal Sağlık Sistemi ve HBYS ile Entegrasyon
Hastane ve Ulusal Bazlı Yönetim Sistemleri ile Tam Uyumluluk
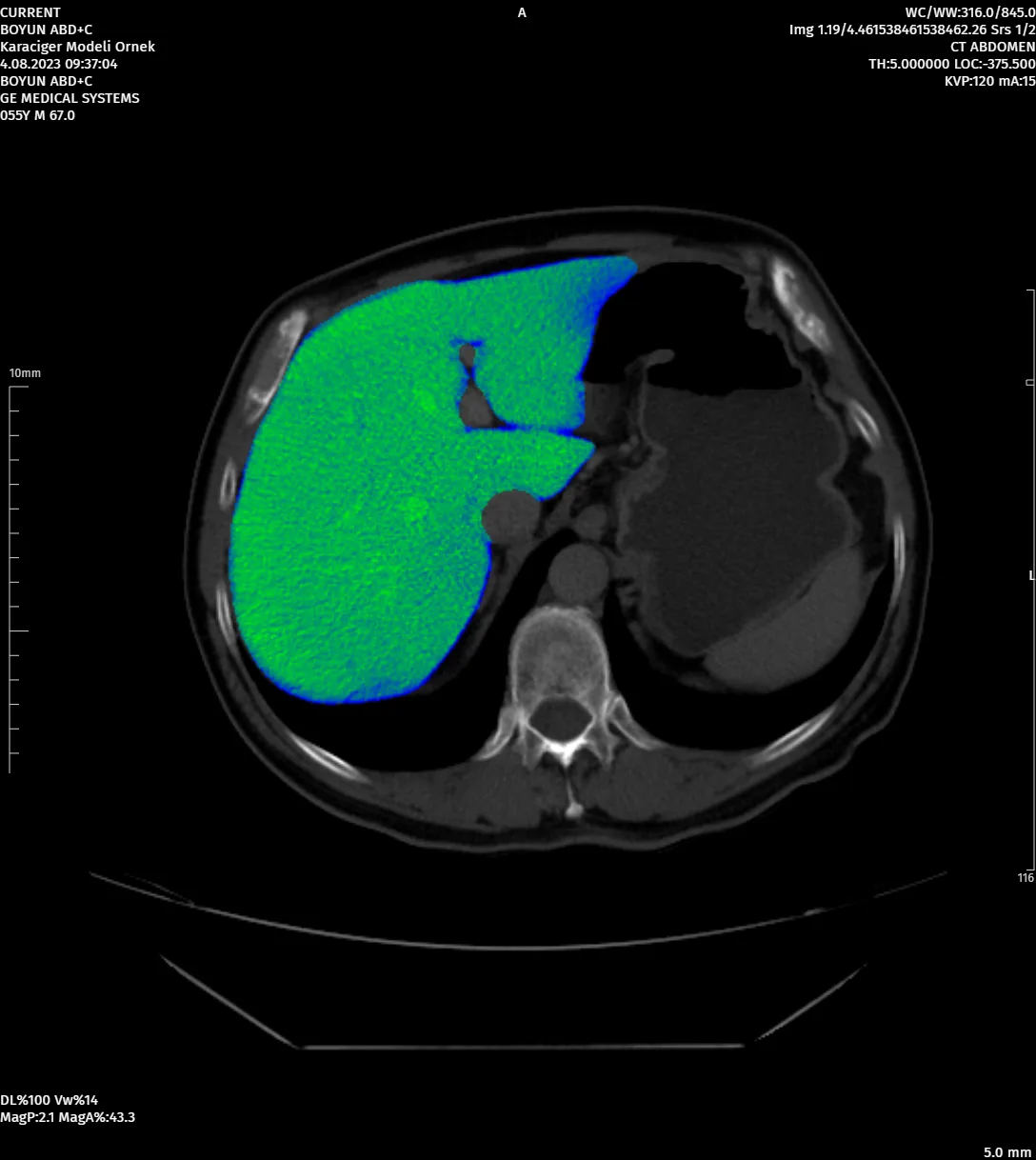
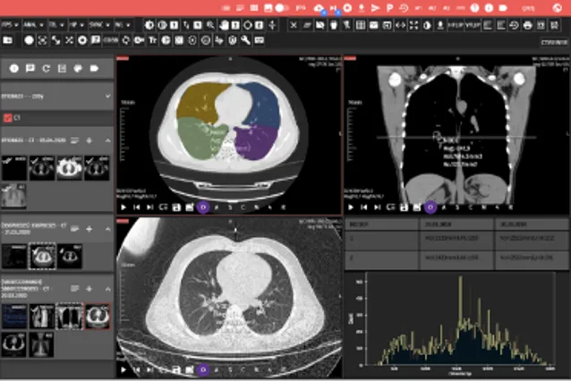
DevamıGelişmiş Görüntü İşleme Araçları
Farklı Segmentasyonlar ile Çalışabilen Görüntü İşleme Araçları
DevamıMEDEX ile 100'lerce Uzmanla Bağlantı Kurun
Meslektaşlarınızla Bağlantı Kurmanın Kolay Yolu
Devamı







